历经魔难十六载 矢志不渝莲花开 【明慧网】

Advertisement


历经魔难十六载 矢志不渝莲花开
EMail 转发 打印 安装苹果智能手机明慧APP 安装安卓智能手机明慧APP
【明慧网二零一五年六月二十四日】今年五十九岁的吴旭姝女士,曾经是黑龙江省佳木斯市政府直属建设局(城乡建设委员会)的办公室副主任兼会计。如果没有九九年那场因小人的妒嫉引发的迫害,她现在应该过着平静、幸福、平凡普通的生活 ;然而过去十六年的人生巨变,劳教所的恐怖、精神病院的摧残,看守所的酷刑,离开成功的事业、十三年的通缉陷害。

以下是吴旭姝女士自述修炼法轮大法的美好,及遭中共迫害的惨烈经历。

黯淡人生

从幼年开始,我的身体就不好,到结婚后就更不好了,女儿满月时,我和丈夫抱着孩子回娘家,很短的路程,让我瘫在炕上,怎么努力都起不来,我想:“孩子刚刚满月啊,可咋办啊?”

为了活着,我一把一把地吃药、一斤一斤地喝药酒;一个气功接一个气功追着学,一大把一大把的花钱,时间一天一天地搭进去,病情不见好转,反而越发难受,经常像是三九天冻成的冰棍一下又扔进火炉里,那个滋味真是没法形容。病痛象在兜里装着似的,随时可以拿出来。

那时候对于我而言生活中的一切就是糊弄,心情烦躁,说话总是没好气儿,同事说我:“你怎么回事?天天叽叽歪歪的?”婆婆常问丈夫:“你媳妇怎么老不高兴?”听到这些话,我只有把眼泪往肚子里咽,再看看自己的家,简陋到门边都要掉了,“一死了之”成了我解脱苦难的唯一出路。

一天,三岁的女儿一本正经的对我说:“妈妈,我和你说个事儿。”看着女儿认真的样子,我俯下身倾听女儿的心愿,幼小的女儿说出的却是:“我想死。”孩子能懂得啥叫死?母子连心,是我这个母亲整天想着死,孩子才能说出这样的话,我一把搂住女儿,娘俩抱头痛哭……。

命运造化,我的人生,在经历了如此的痛苦之后,一本神奇的书奇迹般的让我身体恢复健康,也从此领悟了人生的真谛。

生命重焕光彩

从九五开始一直就有人向我推荐法轮功,我根本就不相信,根据我练了多种气功的经验来看他们就是骗钱的,不会对我身体和精神有任何实质的改变。但是和我说的人多了,特别是单位有一对老干部夫妇也修炼,他们的人品好又有威望,而且我的病医院是实在治不了了,没有别的出路,于是想那就试试吧。

一九九七年一月七日,那是我永生难忘的日子——重生的日子,我找到了学法小组,学了一个晚上,我发现法轮功和别的气功不一样,感觉我有希望了。随着学法的深入,了解到法轮功很正,她能将我引上正路,有了一种回归本性的想法,原来自己可以想象法轮功书中所指明的法理中说的那样活着。通过越来越多接触法轮功的过程我还发现这个群体的人是很好的人,从此我每天都坚持和大家一起学法炼功。从此我的生命重焕光彩:一年到头吃饭喝水都痛得钻心的口腔溃疡好了,再也不用上药了;便秘最严重的象线似的淌血的症状消失了,再也不用喝生豆油了;脑袋里的气儿消下去了,再也不昏不胀了;过去浑身没劲的我,现在整天精神饱满,精力充沛;每当我一上火就肚子痛很久都起不来,只能蹲着的毛病再也没犯过。我终于体验什么是无病一身轻了!

修炼后,我四次登上双鸭山高八百五十二米、坡度近七十五度的七星峰,那是我过去想都不敢想的事,年轻的男同事都被我落的很远。站到山顶,往下望去一片林海,美景尽收眼底,伴随着微风轻轻吹来,我无法用语言形容我对法轮大法和法轮功师父的感激之情。

法轮大法的法理不断启悟我生命的归真,清纯悠远的炼功音乐让我的心灵包容在祥和慈悲的场中,发自内心的喜悦让我整天都是乐呵呵的,早晨到炼功点参加晨炼,晚饭后到学法小组集体学法,家务活我全包了,也不和丈夫吵架了,有时间还能去照顾婆婆,后来,一大帮儿女的婆婆直接搬到了我家。婆婆的后几年不能自理时直至到八十八岁去世的所有费用全部由我们承担,丈夫发自内心的感谢我,说:“你和别人不一样。法轮大法好!”

办公室一些福利工作是我负责的,以往过年发福利、节日买纪念品,只要家里缺什么,我们就买什么,每次我们自己都要多留一份。修炼大法后,我想师父说的“你是个炼功人,是不是得用高标准要求你呀?”从那以后我再也没多要一份。年终到基层单位考核,财务的账目都由我来查看,我按照规定认真负责,不勒索,不卡要。考核单位为我们考核人员预备的接待午餐很丰盛,我看到后悄悄的离开,回家就餐。

工作时的吴旭姝
工作时的吴旭姝
工作证
工作证
部分奖励证书
部分奖励证书

我家住的楼房一个楼栋十户,走廊的灯源我主动接到自己家,邻居们都知道即使到期不给电费我也不会计较。

一次同学聚会,我在饭店捡到一条重三十多克的金手链,马上找失主返回给她。同学们每次见到我都要说:“这个社会要都炼法轮功就好了。”

修炼法轮功之前,我很少考虑别人,也不太会关心别人,“真、善、忍”的法理教会我遇事先想别人,有病住院的同事,我和他的儿女们一样值班,在医院没有坐的地方一站就是几个小时;外地调来的新同事,人生地不熟,我常去她家看看,送她生活用品和食品;利用假期把同事和她们的家属组织到一起,丰富业余生活,使大家带着愉快的心情工作。

人生逆转,我把我获得幸福的经历也不断的告诉更多的朋友、同事、偶尔遇到的有缘人,希望他们的人生也能和我一样重焕光彩!

两度遭嫡亲送精神病院摧残

自从一九九九年迫害发生,我被迫离开了单位后,每次同事见到我时都不无感激地说:“我们那个时候在一起工作真是太好了!那是一种享受,现在再也没有那个时候了。”

一九九九年七月二十日,那场铺天盖地的对法轮功的疯狂迫害开始的时候,听到消息的我很震惊,也很难受,本能地觉着政府错了,我应该进京说句公道话。七月二十一日,我踏上了进京的火车。警察进行了拦截,我的同伴一个一个被便衣警察抓走了,火车上也是一会儿一盘查,最后只剩下我自己。第二天到了天安门,那里的气氛格外紧张。我给在北京工作的同学打了电话,同学告诉我:“你快回去吧,老多的法轮功都被关起来了,有一个体育场就有很多人用水管子浇水,在那里暴晒他们……”

我不知道怎么办好,只好返回家。刚一下车,只见站台站满了一大帮人,有人,有单位领导和同事,还有公安分局的人。公安局要求单位对我施压。妹妹和丈夫把我带回娘家,禁止我看法轮功书籍,胆小的丈夫吓的把几本大法书撕成碎片,早已装在一个袋子里送到单位。全家加上邻居十多口人规劝我要为家人着想,叫我写“不再炼法轮功的”保证。弟弟拿烟灰缸要打我,另一个弟弟骂我,妹妹跺着脚冲我直喊,邻居往我手里塞笔让我写保证不再炼法轮功……从下午四点多钟一直折磨我到半夜十二点,我一想到要放弃大法,心里阵阵刺痛,怎么也不能做违心的事,就这样,晚饭都没让我吃,就被小弟弟扭进车里,送到了佳木斯市精神病院。

我在精神病院被强迫呆了三天,住在又脏又旧的病房里,医生受电视的毒害真的把我当成了精神病,我从来都没被如此羞辱过,三天后家人把我带回娘家继续看管,不给我大法书看,不让上班。

二零零零年二月九日,我决定再次进京上访。一直有前去上访的法轮功学员遭受迫害的消息传来,所以深知此去前途渺茫,也许会失去工作,我买了一件新衣服穿上,第二次登上前往北京的火车。

二月十一日上午在国务院信访办门口,我被大庆市公安局值班的刘姓处长截住,然后通知佳木斯办事处把我劫走了。回到佳木斯,原永红公安分局的石秀文非法审问我后,佳木斯建委(建设局)主任孙东黎委派副主任李永刚强迫家人在二月十四日再次把我送到精神病院。

住到医院后,他们让丈夫、妹妹、母亲轮班看管我,每天都把我关在病室里不让接触任何人。一天,单位派纪检书记陈金和党组支部书记孙颖去见我,他们说你要法轮功还是要党籍和工作,我当场写了退!!申请书。其实孙颖在九九年七月之前每当中午休息时都和我一起看法轮功的书籍,她是知道法轮功好的,就在这种高压下她也参与迫害逼迫我放弃修炼,后来我知道她得了喉癌时打电话告诉她记着“法轮大法好”就会绝处逢生,但是最终遭受中共毒害的她还是留下两个未成家的孩子离开人世。

当时精神病院的主治医生张学民、科主任薛凤启、护士长李淑清,未经任何检查就把我定为“抑郁性精神病”,逼迫让我吃氯丙嗪弗呱丁醇,若我不吃药,我的亲生母亲就打我,我炼功也被打,母亲和妹妹始终不离身看着我,还找到我的同学和好友来劝我放弃修炼,她们轮班每天几个人围着我,轮番的用电视的谎言一遍遍逼我放弃信仰。

真正精神病人吃的两片药,给我服下后见我没有反应,就加大药量给我吃四片、六片直至到八片。丈夫心疼我,有一天,没人在的时候他偷偷的从裤兜里摸出两片药对我说:“这是我藏起来的,我说给你吃过了。”

母亲看我在服用八片药还清醒的向人讲法轮功被迫害的真相时,在中共高压恐惧的驱使下,母亲变的毫无人性,她竟然送礼给大夫,要求给我打那种专门针对重病症高剂量的点滴。我拒绝她的无理要求,她对我说:“不打就把你绑在床上。”没办法我只好违心的让亲生母亲看着滴滴药水注入我的体内,注射药物后,我口干舌燥、舌头不听使唤,腿站不稳,心情烦躁,难受的两腿不由自主的乱蹬不停,浑身瘫软无力。一个月的时间,身体上的痛苦,精神上的凌辱使我痛不欲生。

三月十三日走出了精神病院的大门后我仍然没有自由,单位领导让家人继续看着,不让我回自己的家,母亲特意倒出一个屋子让丈夫白天黑夜看着我,她还每天端水拿药,逼我吃。小的时候,妈妈也总是为我端水送药,那时妈妈会对我开玩笑的说一句:“我养了个废物,啥时能好呢?”今天我的身体无病一身轻了,该是妈妈高兴的事了。然而经历了历次中共运动的母亲,受到了怎样的毒害,为了保全自己的女儿做出如此令人心痛的选择呢?事后母亲曾愧疚地对我说:“当时想的是,让医院给你留下病例,说你有精神病以后好不被迫害啊。”多么扭曲的想法!这种伤害对于我的母亲和亲人来说是多么的残忍,何种方式才能弥补他们的伤痛?

自幼作为长女的我,获得了父母额外的疼爱,弟、妹的尊重。在无端的迫害下,我的亲人在共产党暴力的淫威下被谎言蒙骗,人性扭曲,采用“送我进精神病院”这样的办法“保护”我,我曾经非常不理解,也很怨恨他们,很长一段时间我都不愿去见他们,甚至母亲碰我一下我都直咬牙。事后想,难道我永远这样恨下去,我这样又和他们有什么不同,都是被邪*-迫害的,我不是按照“真、善、忍”修炼的人吗?那时我的慈悲心油然而出。因为我喜爱摄影,于是在二零零五年十月一日的假期我主动和家人提出给他们照相,当我想这么做的时候,全家七台车三十七口人出去玩。那天妈妈坐在我身边,抚摸我的手,看到她对我的心疼和家人为了让我高兴努力做的样子,我知道我又获得了幸福,这种幸福来源一个修炼人以博大的胸怀包容一切后无私的境界。我把大法的“护身符”给了他们,多年没见的亲人抱住我,为我的遭遇痛哭,妹妹的婆婆告诉我:“你们都是好人,你们没有错。”大法化解了我心中的怨恨,我真正的从对方的处境设想予以体谅,心中那股澎湃汹涌的怨恨也在一点点的轻淡消失。

合法上访 被开除公职

二零零零年六月的端午节前,单位才叫我上班,李永刚副主任对我说:“你的工作能力是没说的,但是你修炼法轮功不行。”我被无正当理由地降职分配到下属工程质量监督站工作。上了五、六天班后,吴庆智副主任把我叫到建设局,让我在所谓的“包保责任书”上签字,不许炼法轮功。我告诉他:“做不到。”他说:“那你要不签,就不能上班。”我说:“我修炼有啥不好的?单位各科室的窗户都是雇人擦,我们办公室的玻璃,都是我擦;涉及到钱财的事不贪不腐,我不占一分。你们领导都知道,都放心,要都是这样的职工,都修炼法轮大法,都做好人不好吗?”

之后,单位逼迫我的丈夫不准上班每天都在家看着我,弟弟来到我家把大法书撕成碎片,父母表示要搬行李住在我家。为的是不许我外出,不许我看书。二零零零年六月中旬,我寻机第三次进京上访,被绑架到前门派出所,单位派的人和丈夫把我从北京接回当地。

二零零零年六月二十日佳木斯建设局以佳建‘2000’81号文件将我开除公职。理由竟然是因我两次上北京为法轮功申冤!

当年我凭着自己的业务水平走进政府的工作大楼,丈夫一直引以为荣,经常对我说:“你的人品好、聪明,咱们厂子里的这些年轻人谁都不如你。”亲戚也都夸奖我:“你错不了,这孩子好啊。”可是由于我按照真、善、忍标准做更好的人,为法轮大法说句公道真话而被开除公职,亲戚、朋友、同事都为我鸣不平,丈夫更是看透了说:“共产党完了。”

无辜通缉 屡遭绑架

迫害还在继续升级,大法蒙冤、师父被人诬陷,法轮功学员被酷刑折磨、关进牢房,这个政策肯定是错了。我觉得我还是得去反映真实情况,二零零零年十月二日,我第四次前往北京上访。

当时的天安门广场气氛阴森恐怖,大客车排得密密麻麻,警车随处可见,全副武装的士兵、警察、便衣、保安,排着队在广场上来回跑。来北京上访的法轮功学员也随处可见,会意的一笑,大法弟子间的默契让我们即使互不相识,也互相信任。大家决定等人稍微多一点同时上访,当时很多法轮功学员都住到了北京郊区,于是我也在北京郊区住了下来,当地派出所挨户盘查,每天都有法轮功学员被劫持。十月十九日,我们在住处被当地派出所劫持,关在当地派出所的一个有铁栅栏的房间里,晚上很冷,警察特意把窗户的一块玻璃撤掉而让冷风往里吹,值班的警察穿着棉大衣,我们坐在铁笼子里冰凉的水泥地上,吹了一夜的冷风。我们四个人中有一个十三岁的孩子,他的妈妈已经先被绑架了,我把他抱在怀里取暖。我们背着师父的《登泰山》“攀上高阶千尺路 盘回立陡难起步 回首如看修正法 停于半天难得度 恒心举足万斤腿 忍苦精進去执着 大法弟子千百万 功成圆满在高处”,互相鼓励度过寒冷的夜晚。

十月二十二日,佳木斯长安派出所的片警阚立新把我们从北京带回当地,欺骗我们说送我们回家。向我索要了八百元钱说是车费,回到当地把我们交到原永红公安分局,由郭维山直接把我送进了看守所。

看守所阴森森的大铁门在我身后“咣当”一声门关上后,我就进入了人间地狱。打开监室的铁门:一铺大炕是木板钉成的,地下距离炕边只有不足一米宽的地面,有接水的水管,洗澡用凉水直接浇;有便池;仅存的一点地方堆着杂物,铺上垛着被褥,地铺下面有时老鼠跑来跑去,吃、住、拉都在这里,室内潮湿灰暗。狱警从监控里监视着每个人的活动,一天里绝大多数时间人挨人排坐着,不能随便活动。晚上犯人趴在墙角透过暖气管道的缝隙,对着隔墙男号的犯人说着污秽的、不堪入耳的脏话,我做梦都没想到我能进到这样的地方。

我根本就不是犯人,被关进这里是对好人的侮辱,没有说话的地方,绝食成为我寻求说话的方式,但是我没有想到在利益的驱使下,本来是保护公民生命的警察视生命如草芥。我绝食的第五天后,开始对我进行强制灌食,刚刚从其他法轮功学员口中抽出的管子直接插到我的嘴里,一阵阵恶心,想吐又没有吐的东西,灌的是加了盐的玉米面稀汤,连续灌了三天,灌完后,两人一副四十斤的脚镣子铐在脚上,脚镣子都生着锈,逼我们围成一圈儿坐在地铺上。只有最邪恶的政权才会让人干这么丧尽天良的事!

绝食的第九天我的生命出现了危险,犯人把我背出后交给我的丈夫,家人直接把我送到医院抢救。几天后,我找到长安派出所警察阚立新,我问他:“你不是说送我们回家吗?你为什么骗人?还有你们所长史双飞从我丈夫那里还勒索去了三千元人民币说是路费?”我几次要求他们返回,他们才勉强退给我丈夫一千五百元人民币,我丈夫害怕他们继续干坏事,又送给所长史双飞个人五百元。

二零零零年十二月十七日早上,我去同修张淑芬家串门,一会听见急促的敲门声,见不给开门,向阳分局的国保大队队长崔荣利(确定已遭报死亡)带七、八个人砸碎窗户玻璃,闯了进来,像一群强盗,满屋乱翻,把一些法轮功真相资料和两本大法书还有一镶有师父法像的镜框都抢走了,将靠在窗台站着的我拽住抡倒在屋地中央,我说:“我们在自己家又没干违法的事,我不走。”他们就骂人,见我不跟他们去,就换来一个司机伪善的对我说:“就到分局核实点事,核实完了就让你回家。”我说:“那我也不去。”我们八名法轮功学员被他们连扯带拽的弄车里拉到向阳分局。崔荣利非法审问我,还强迫我们照像、摁手印。我知道我配合他们就是让他们进一步犯罪,我不配合他们。他们见我啥也不配合就说:“不按就不按,不照就不照吧。”事后其中六个法轮功学员被送看守所,有的被劳教好几年。当晚我丈夫被迫签字保证我不再出去,才将我放回。后来得知参与绑架的有向阳公安分局的秦中玉、崔荣利、于进军、市公安局的陈万友。

二零零一年新年之前,市建设局局长孙东黎派办公室副主任史之章到我家问我:“上不上北京上访啊?”到了三月份,孙东黎又派了几个和我关系密切的女同事,以玩麻将的名义天天到我家,其实就是变相来看着我,她们平时是我最好的朋友,我就向她们讲法轮功的真相。几天后,有几个人听明白就不来了。

二零零一年三月八日,孙东黎又派两个人来我家。有当时任支部书记的孙颖,那天她刚一出单位的门就把胳膊摔骨折了,这样,就剩一个人了,这人只好带了一个外人来到我家,她俩进屋不久,永红公安分局的人就来敲门,边敲边喊让我开门,我对局长孙东黎派来里应外合的同事说:“你不能开,你知道他们是在犯罪,你要开了后果是什么样? ”他们见到来我家的这个同事迟迟不给公安分局的人开门,就打电话过来,听同事回答他说:“我找谁?人家都不来了,我只骗来一个人,还是我的邻居。你们来人吧,我没办法。” 那头着急就要绑架我,孙东黎又派来单位当时的纪检组书记陈金和警察在门外一起砸门。家人知道后,找他们据理力争,下午四点多钟警察才走。害怕我再遭受迫害,丈夫劝我离开了家,从此我过上了流离失所的日子。

身处魔难中的我,深知这场迫害真正毒害的是不了解事实真相的民众,为了让世人不被谎言蒙蔽。二零零一年五月二十二日早,我在往墙上写“法轮大法好”时,被原永红公安分局蹲坑的政保大队大队长石秀文和教导员郭维山发现,他们纠集长安派出所所长史双飞和包片民警阚立新及不认识的几个警察绑架我。郭维山扯住我的头发拽着往地上砸,头上当即撞出几个大包,身上沾满灰土。我挣扎着站起来,郭维山又一阵拳打脚踢,多少天后我喘气肋骨都疼,身上多处青紫。他们把我劫持到永红公安分局后,市委书记赵庆有、市公安局局长李运阳、国保支队大队长陈永德还有扛录像机的警察已经等在那里,我不配合他们要求,他们把我抡起来摔倒在地,我的头被撞在桌子角上昏倒在地,他们还谎称说我装的,欺骗家人说我在睡觉。他们强行把我按进铁椅子里面,再把椅子用绳子系上。市公安局一个姓黄的二十九岁年轻警察,把我做的椅子转向面朝墙,他用脚猛跺我的脚,拽着我的头发往墙上撞头,撞了三个多小时。黄姓警察折磨我时身边三个值班警察看笑话。当我质问市公安局局长李运阳:“你的部下为什么打人?”李运阳无赖的说:“谁打你了?” 之后再次把我送进了佳木斯看守所非法关押。事后我回来时,一个亲属告诉我,我们在《三江日报》上看到你的消息了,这我才知道他们不仅非法劳教我,还利用媒体造谣诽谤我。

进到看守所,我开始绝食,警察们把我的双脚套进两头各一个铁环的木板上,再把我和木板固定在一起钉在地铺上,就这样我24小时不能活动。第三天的时候,因我不穿囚衣,就又把我双手用手铐铐住,也钉在地铺上,人呈“大”字固定住。当时我浑身伤痛,呼吸困难,一动不能动的躺一宿。在看守所的第四天,突然警察过来喊让我们穿衣服走,用车把我们拉到了佳木斯劳教所。

在佳木斯劳教所办公室,一个警察对我说:“这是你的判决书,判你三年劳教,你签个字。”我说:“这是非法的,我不会签字的!”他说:“不签也照样劳教。”

刚到劳教所,一个体重二百多斤、身高一米六八、眼神邪恶的让人感到窒息女警宫春波,她是中队长,她把我的衣服扒到剩短裤、背心,进行搜身。然后把我关进“转化队”,每天不准出屋,上厕所要限时,还得敲门请示值班警察后再由犯人跟着,上厕所是有次数限制的。每个不“转化”的法轮功单独隔离,不能出监舍的房门,不能和其他法轮功学员碰面,不能盘腿坐在硬板床上。

警察刘亚东强迫我到管理科照相,我坚决不配合,她和另一个警察把浑身伤痛、行走困难的我直接拖到一楼。管理科一个姓林的男警逼我坐好,我说我不是犯人不照!他连续踹我的脚,又来推我。刘亚东声嘶力竭的骂大法创始人,他们把我按住硬是照了一张不配合的照片了事。

我不顺从他们写所谓放弃信仰的“三书”,刘亚东让那些被逼迫放弃修炼的人一天天围着我,少则五、六个,多则一屋子人;来了一伙又换一伙。刘亚东见我不听她们的,就大喊大叫着搜走我用的笔和纸。不让我炼功,不让我闭眼睛,只能坐在硬板床上,最后屁股都坐出茧子,以此消减我的意志。

有时把我们不放弃信仰的法轮功学员赶到走廊,坐在小凳子上看造假的光碟、录像带。还有一次,让我们去大俱乐部开会,听转化人的报告,周围的墙上挂图都是造假污蔑法轮功的,他们怕我们撕去挂图,周围都是狱警,几步一个,戒备森严让人毛骨悚然。我们的心难受极了,如稍有一点举动就会被带到那个恐怖的旧楼里受刑!平时当我的同修们被灌食的时候,狱警们就会把广播、录音机的音量放大到能掩盖住她们施暴的声音,掩盖他们的罪行。

不放弃信仰就不让家人会见,家人只好托关系花钱找人,见到家人后,让家人说大法不好,否则就不让再见。一次,妹妹捎给我一条过百元的皮带,穆姓警察借由说里面不能用腰带把腰带占为己有。信件都要先拆开,看看有没有法轮功的内容,有你永远也接不到家书。也不许往家里写信,托人、有关系的可以写,但是一定是说在劳教所里好才行。

只要不放弃信仰,就单独关在几平米的阴暗屋子里,被小偷、诈骗、卖淫、吸毒的犯人看管。夏天屋里三十多度的高温闷热不开门,劳教所是长明灯,晚上蚊子和小咬到处都是。冬天室内温度低的狱警都穿着棉大衣,我们的被子是透亮的,夜里经常冻醒,褥子薄的硌骨头,卖给法轮功学员的多是走的人扔下的旧被子,还要交一百五十元钱。由于终日不见阳光,有的法轮功学员被折磨的脸都是青的。监舍里什么东西都不能存留,哪怕是一支笔和一张纸。

劳教所的经费是按人头拨款下来的,克扣到饿不死我们就行,给我们吃的是一碗水加几个菜叶的白水汤,主食粘牙的黑馒头,米袋子上边印有鸡饲料的字样,后来这件事情在海外媒体曝光后才得以改善。有一个大窟窿的破塑料盆在地上拖着馒头送到每个监室,有时馒头是九成熟的,很粘,还有的带着在盆的破处与地面摩擦的痕迹。一次,中午打饭,打饭人用水瓢在菜桶里一搅和,然后端起瓢倒向碗里是一碗清水,连一个菜叶也没有,当时我让犯人找到女狱警于文斌,她自知理亏,一声不吱,让送饭的又给打一次菜汤。夏天有几次被狱警带到院子的空地采野菜,不是狱警出于良心发现,而是为了借此理由可以高价出卖给我们她的大酱从中牟利。不放弃信仰的法轮功学员衣服也得在监舍里洗,晾衣服都是值班的犯人,一般衣服丢了都找不回来的。警察怀疑谁帮了法轮功,就把谁弄到办公室或库房体罚、电击,还不许声张。他们还利用、逼迫那些犯人迫害修炼法轮功学员,叫这些刑事犯打、骂、侮辱法轮功学员,谁越狠越坏,她们越奖励谁。

因为我不放弃信仰被隔离非法关押,终日见不到阳光,若不是心里装着宇宙大法,真会精神崩溃。一次,我打坐炼功,于文斌闯进屋里往下搬我的腿,我告诉她我没犯罪,在哪都应该炼功。

由于长期的非法关押,我的身体状态越来越不好,我打电话告诉家人:“如果我的生命出现危险时,可千万不要听信他们的谎言说我自杀,是他们害死的。”家人到劳教所要求给我检查身体,医院检查结果是我随时会出现生命危险,家人要求治疗和放人,警察还是把我送回劳教所。

二零零一年十二月,我四肢冰凉,身体不能自理,二十四小时需要别人照顾。一天,狱医来给我测血压,低压降到五十,他象没有事一样走了,没人管我的死活。我象一具僵尸一样躺在那里,浑身没有一丝热呼气,整宿不能入睡。十日家人来到劳教所,正告他们:“这个人死了你们负责!我们不要了!”他们害怕我死在里面担责任,祝铁红才签字同意送我去医院。当晚警察李秀锦坐车押着我到的医院,她在抢救室一直看守到天亮。当时三个医生为我量血压都为“0”,检查结果:心衰、肾衰、休克,心血管供血不足。她向劳教所的政委一遍遍汇报,“没有血压……”这才于十一日把我交给我的家人,还让我的弟弟签上字,生命出现危险与她们无关。我在劳教所整整被非法关押二百天,真是在人间的地狱走了一回。警察宫春波拒绝我带走那里所有的衣物及用品,她把物品全部占为己有。

即使身处如此恶劣环境,我记着师父的话,把接触的每个人都当成与自己有缘的人,无论是警察还是犯人,我把修大法后的神奇经历讲给他们,告诉他们“法轮大法好”、“真善忍好”。明白了真相的人善待并默默的帮助法轮功学员,暴力永远改变不了人心,法轮功学员在自身遭受迫害的情况下,始终秉承“真善忍”原则,大善大忍的胸怀,象清晨的一缕缕阳光,慢慢浸入人们的心田,让世人看到了生命的美好和希望。后来一个曾经参与迫害得法的劳教所警察崔会芳写下这样的话:“我都把他们‘收拾’成这样了,她们怎么没有怨恨?” 她开始思考并走入到大法修炼中来。

二零零二年一月八日,从劳教所回来还不到一个月,我去看望法轮功学员董林桂,刚进屋没多久两个警察就闯了进来,一个打电话纠集警力,一个在屋里看着我们。不一会来了大约有十五、六个警察,到处乱翻,录像。一个高个警察把我从床上拽下来撂倒在地,穿着皮鞋的大脚猛踹我胸部,几脚下来我气儿都缓不过来了。警察把我们拽上警车。拉到原永红公安分局后,永红分局政保大队教导员郭维山一把抓住我的头发连踹再往地上砸,拽下一大绺头发,旁边围着一群警察,其中一个警察看着打我的郭维山说:“打人家干啥。”警察扛着录像机又要照像,又要摄像,我闭着眼睛抬着头一律不配合,他们无法照才作罢。

郭维山就把我们送到看守所,我再次绝食抗议,一个女警察找来了两个男警把我和董林桂四肢成“大”字形被钉在地铺一宿。我被踹的胸还在痛,一动不能动,还在来例假。我对值班女警察说:“我正在来例假。”她毫无人性说了一句:“哪个女人不来例假?”生命再一次垂危后,他们才层层请示在一月十六日放了我,董林桂被诬判十二年冤狱。几天后我看电视时佳木斯新闻播报了我被绑架的过程,那天的场景,不过地点、时间和室内放的东西全都与事实不符,他们为栽赃陷害法轮功学员做了精心的造假准备,蒙蔽并毒害了世人。

二零零二年四月,我到妹妹家,她一看是我,急速从冰箱里拿出一团冻酸菜塞到我的手里说:“快走吧!他们到我家来找过你。”于是我又开始了流离失所的生活。

二零零二年五月一日长安派出所所长史双飞、警察王全,市公安局的陈万友,向丈夫要去我的照片,在网上全国“通缉”我,至今仍未解除。丈夫受不了长期、无休止的骚扰,离开了单位,失去了工作。

我的亲人因为担忧我的安危,每天提心吊胆、战战兢兢的生活。十九岁的女儿一人晚上在家睡觉,半夜的时候突然灯光照醒了她,女儿看见一群陌生男人站在她床前,吓的不知所措的问他们是谁?他们说:“看到你家门开着就进来看看。”女儿说:“不可能,我爸从来都是反锁门的!”身着便衣的警察们用钥匙打开了门,公然私闯民宅。

二零零二年七月,女儿考大学那天,我流落在他乡,坐在路边的马路牙子上,看着一群群的家长在学校门前等待出考场的孩子,我的心一阵阵绞痛,我的孩子也一定期盼着她的妈妈能在这里等着她,然而她的妈妈只因为坚持信仰说句真话不能在她的身边。十几年后女儿有了自己的家,对我说:“妈妈,我们在一起生活吧,这些年和你们在一起的日子太少了。”

二零零四年三月,一直在外面流离失所的我回到了自己的家中,警察知道消息后就到我家附近的超市蹲坑。二十一日早上八点多钟,我丈夫接到向阳公安分局的电话,说要来绑架我,我丈夫马上走出房门(二楼),警察已经到了一楼,丈夫不配合,他们就想绑架我丈夫,他跑上了一辆出租车走脱才算了事。几十名警察,六、七辆警车包围了我家的住宅楼。警察拿万能钥匙开门,由于屋内反锁,打不开,他们就在门口轮流值班,楼前、楼后警车里也有人守着。一个警察试图砸碎窗玻璃进屋,婆婆严厉制止他。他们还向行人撒谎说这家门开不开了。一直到天黑还围着,路旁聚满了看热闹的人,最后他们把那段路戒严了,晚上八点多钟他们调来了四辆消防车,从窗户砸碎玻璃钻进屋里,九十八平米的屋子里二十多人乱翻,参与的有:向阳志兴社区委员会主任张淑芹、永红公安分局和所在地派出所的警察、市公安分局的警察、消防支队的警员,据说这次行动是省公安厅直接指挥干的,市公安局陈友德和陈万友直接参与指挥。他们在室内从南阳台到北阳台,从方厅到厕所,从柜上到床底下,从锅里到桶底没有翻不到的地方,抬走了师父的法像,偷走了我丈夫价值上万元的手表和现金,还有我娘家全家历年家庭活动的录像带等,抢走的东西是排着队抬走的。八十多岁的婆婆坐在沙发上发抖……。警察还不放过,逼问她:“人到底在哪?”她愤怒的说:“不知道!”他们扛着录像机边翻还边说:“这一天楼前楼后没离人,飞也飞不出去呀。”最后撤走时为了掩盖他们的犯罪行为,社区的主任张淑芹说:“来,咱们给收拾收拾。”他们没有达到目的,继续在我家蹲坑。

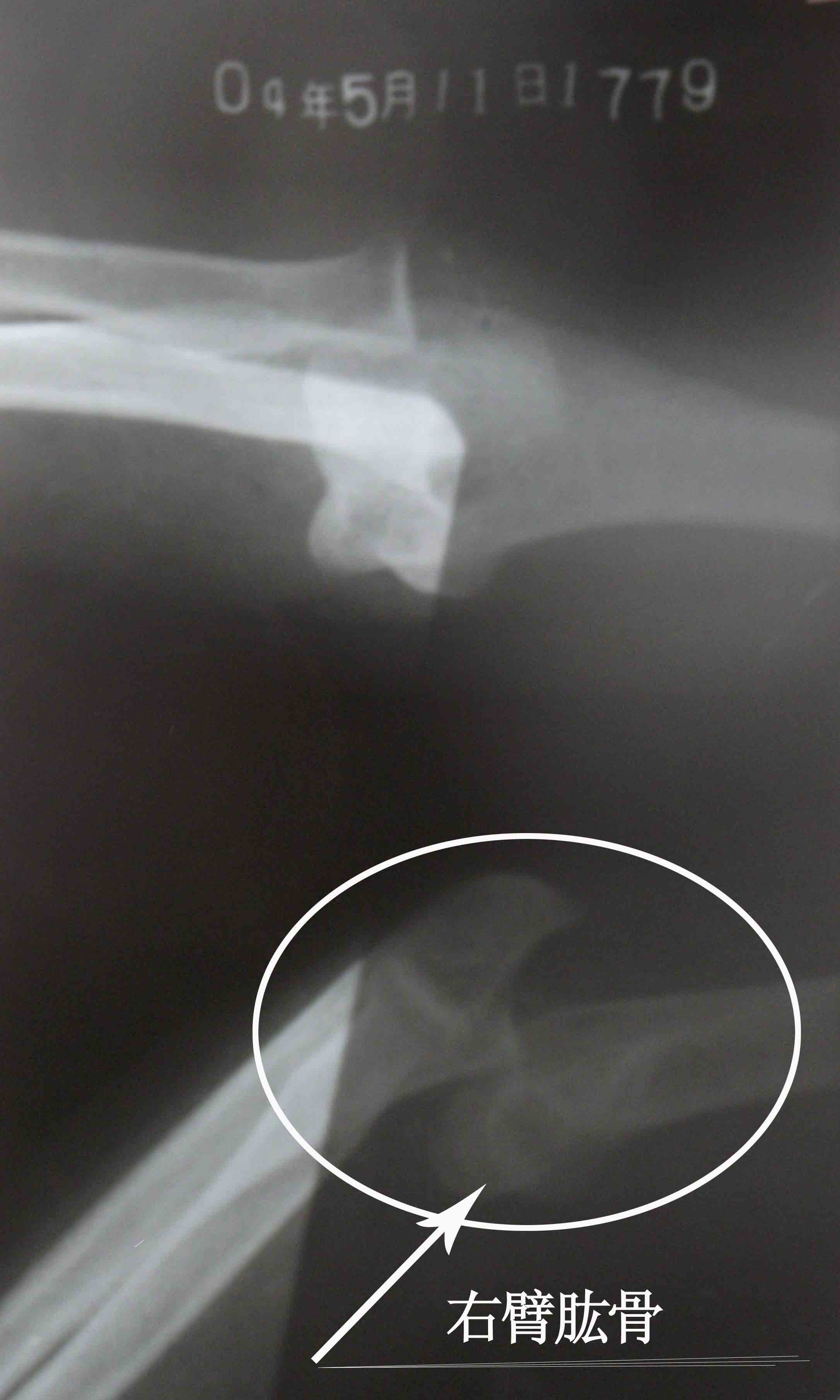
当天半夜我离开家以后,不断更换住处。三月二十九日那天,我刚把房门裂个缝,就见一个贼头贼脑的人正往我这里看,极度的恐惧顿时吓的我不知所措,只想快点离开住处,从窗往外看楼与地面并不高,我就跳了下来,结果受了伤,过路人把我抬到一辆出租车上,当司机知道我的遭遇时他什么都没说,把我送到了一个法轮功学员家。历经一个多月艰难的日子我终于能行走了,那段日子没有医疗(不敢住院怕被绑架),没有家人,只有痛苦和恐惧,若不是有大法的法理、同修的照顾真的很难走过来。后来到医院确诊我的右胳膊肘到手的那段骨头从胳膊肘里撞出来了,胸椎十二节和腰椎一节压缩性骨折,后来成为两椎体融合成一个椎体,当医生看到X光片子惊讶的说:“这是要瘫痪的!”当时腰椎骨折手术得十万余元,我被单位开除,没有生活来源,没钱医治。也只能在弟、妹的援助下做了胳膊的手术,术后胳膊再也不能直伸了,腰部连洗衣服都疼,更不能干重活,终生残疾。

吴旭姝胳膊和腰椎的X光片

我因为坚持修炼被开除了公职,失去了经济来源,多年来我一次次去单位要求恢复我的工作和补发我应得的工资,历经三任局长,至今都不能得以解决。为了维持生计,我只好外出打工,需要身份证件,我每次去了市政大厅办理身份证,窗口都不给办理,都说把公安局对我的非法通缉撤掉才行。

十几年来,我六次被绑架迫害,四次绑架未果,二次被迫流离失所、六次被迫害住进医院,所花的医疗费记不清有多少,被迫害时家人为了能够见到活人被迫托关系不知花了多少钱。

为您而来 请选择光明

十六年的时光,我的家人从被暴力恐吓不敢抗争,到现今百余人退出中共邪*-,父母八十多岁的高龄,身体硬朗,精神很好。我依然是他们的眼中骄傲的女儿,十六年前他们以我是个好女儿,有个好工作、幸福的家庭为荣;十六年后的他们同样因我骄傲,因为他们看到了在我身上展现出的一名大法弟子无怨无恨的心态和时时处处为他人着想的善良品质……。

在十六年的风雨岁月中,我知道我的坚守,能够唤醒更多人的善念和良知,我坚信我为你而来,为了全世界所有的人都能了解真相而来,请所有同情我们、支持法轮功的人站到我们的身边,和我们一起呼唤:停止迫害。能够守住良知的人们必将得到神的庇佑和赐予的福报!

(c) 1999-2025 明慧网版权所有





2026年神韵

Advertisement

Advertisement

Advertisement

Advertisement

Advertisement

Advertisement

Advertisement

Advertisement

Advertisement