从科学角度论述法轮功祛病健身
法轮大法明慧网
首页
按栏目浏览
按日浏览
从科学角度论述法轮功祛病健身
【明慧网二零二一年八月三日】许多朋友都在关心,为什么法轮功祛病健身会有这样的神效,到底是什么原理呢?李洪志老师在法轮功的著作中,对中医、西医治病及修炼法轮功对净化身体等等做了精辟的论述。

为了便于读者理解,我们从科学角度对法轮功在祛病健身方面的奇效进行初步的认识。

1、精神和心理上具有良好效果的“自我保健”系统

在二零零四年十一月十六日出版的《美国科学院院刊》中,科学家发表研究结论,“静坐”可以增强大脑的活动能力,明显地影响脑部负责调节情绪和快乐相关的区域,让人有更灵敏的反应,是一种从身心两方面都能调节人体状态的好方法,也是目前中西方医学界研究的养生之道。

西方现代医学已经意识到健康的多层性和多面性,明确地提出现代医学新模式:生物─心理─社会─心灵模式。当一个人心灵健康时,他的心理和社会行为必然健康,他的身体的健康便是一个必然的结果。其实,传统的完整的中医学和真正的修炼方法,不仅涵盖了这一模式,而且提供了整套可行的方法。

法轮功的修炼是“性命双修”,最主要的是修性──心性的修炼,把“真、善、忍”这个指导原则贯穿到修炼者的日常生活中,法轮功的修炼认为心性是达到长功和祛病健身的关键;再辅以炼功来改变身体──修命,五套功法中有动功,站桩和静功打坐。

法轮功是一个修炼系统,目标是超越祛病健身的,但在祛病健身这个层次上也可显示出奇效来,在祛病健身这个层次上可以把法轮功的修炼看成是一个“自我保健”或是“自我提升”的系统。

学员对自己的健康和生命负责,用“真、善、忍”指导日常生活,正确看待人生中的得失,减少了焦虑;戒掉了不良嗜好;焦虑和那些不良嗜好是现代医学认识到的、导致众多主要疾病的高危因素。法轮功学员认识到并通过修心性获得良好的心理和精神状态。同时,炼功不仅可改变身体,祛除疾病,又可极大地增强对疾病的抵抗能力。

下面的一些科学研究结果可以帮助我们进一步认识法轮功的神奇效果。

2、法轮功修炼在细胞和分子水平上可双向调节免疫系统

在人的血液中,除大量红细胞之外,还有白细胞,白细胞是体内的主要防御机制。其中,嗜中性白细胞占白细胞总数的70%左右。嗜中性白细胞寿命很短,在血液中的半衰期只有七个小时,在体外更短,低温保存也只能存活二到三小时。

因此,我们的造血器官骨髓必须尽快地制造嗜中性白细胞而给予补充。一个50公斤体重的人每天必须造出500亿个嗜中性白细胞。

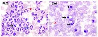
上面图解说明:从外周血液分离出的嗜中性粒细胞,在体外培养16小时后的表现。细胞被染色后在显微镜下观察。健康嗜中性粒细胞:蓝色箭头;死亡细胞:黑色箭头;红细胞:红色箭头。左图显示法轮功修炼人(FLG)的细胞几乎都是活的,右图为正常健康人的细胞均已死亡。

二零零五年,美国贝勒医学院的科学家们在替代医学领域权威杂志上发表了论文,通过对一群法轮功修炼者的血液白细胞进行实验,证实了:与正常健康人相比,法轮功修炼者的嗜中性白细胞之吞噬和杀伤细菌的功能明显增强,显著增加了与抗御病毒有关的调节基因,能对各种外来病毒、细菌具有更强的抵抗力。这包括:(1)嗜中性白细胞的防御能力增强,寿命增长,因此法轮功修炼者只要有正常人的20% 到30%的嗜中性白细胞就足以达到超常的抗病与免疫能力,这也大大减轻了骨髓制造嗜中性白细胞的负荷;(2)法轮功修炼者细胞表现出的免疫双向调节的机制。免疫系统如双刃剑,它可以杀死病原保护机体,但是太强了也可以造成过度炎症反应,从而对自身造成伤害。法轮功修炼者的嗜中性粒细胞在没有炎症刺激时存活时间比不炼功的人的细胞要长,加上吞噬功能也强,因而有利于保护机体;而当有炎症因子时,却会迅速走向凋亡,从而减少炎症的发生。

3、法轮功修炼增强生物系统的能量场

在能量场的研究方面,北美研究者们发现法轮大法修炼场对单离心肌细胞的收缩张力产生35-111%的增强作用,即法轮功修炼能量场明显增强心肌细胞的收缩活性,这表明在法轮功修炼过程中一种尚未得知的能量物质作用到生物系统而使其活性增强。

此实验结果直接为法轮功对生物系统具有神奇的有益影响提供了可靠的科学依据。

二零零七年八月十一日至十四日在美国南加州圣地亚哥市举行了第六十五届国际心理学家协会年会,会上,来自美国的科学家在大会上发表了题目为《法轮大法身心健康功效的细胞生理学、心理学和能量医学的科学研究》的报告,以充份的数据和实验结果证明法轮功对于减轻人的心理压力、提高身心健康素质、治愈现代人诸多身心疾病、提高心理素质和道德水准、以及开发潜能智慧等方面具有显著效果,并从现代科学的不同学科角度给予严谨而又深入浅出的分析论证。该报告在国际心理学年会上引起强烈反响。

下图实验结果表明,法轮功炼功人打坐一小时后,手指间生物能量显著增强,气血能量循环改善。由于十指连通周身经络穴道,此实验表明炼功具有通畅全身经络、回复和增强生命元气之神奇功效。

图示:生物能量显像技术表明法轮功修炼增强生物能量场强度和改善人体能量循环的显像。标有数字1、2、3、4、5的影像分别为炼功人左手拇指、食指、中指、无名指和小指在炼功前(上列)和炼功后(下列)的生物能量显像。右手五指的生物能量显像显示类似结果(图中未显示)。

法轮大法是性命双修的上乘大法

法轮大法是由李洪志先生创立的上乘佛家修炼大法,他以宇宙特性真、善、忍的标准为指导,配合五套简单优美的动作,能使修炼者在极短时间内达到身心健康,性命双修。

当日前一篇文章: 在集体环境中修炼提高升华
当日后一篇文章: 二零二一年八月三日大陆综合消息